Metallfreie Versorgungen auf Implantaten
Eine absolute ästhetische Integration des künstlichen Zahnes kann nur dann erzielt werden, wenn die im Mund eingegliederte künstliche Krone nicht als solche zu erkennen ist.
Sowohl natürliche als auch künstliche Zähne sind Elemente eines Gesamtbildes, die noch durch die parodontalen Strukturen (rote Ästhetik) und die umgebenden Elemente (Lippe, Wange, Gesichtsmuskulatur) enthalten.
In diesem Zusammenhang ist für ein ästhetisches Ergebnis nicht nur die richtige Planung und Durchführung der Therapie seitens des Behandlers wichtig, sondern auch die kreative Umsetzung des Zahntechnikers unter Berücksichtigung des umgebenden Weichgewebes (Emergenzprofil) und des Gesichtes, um den Patienten durch die neue Krone Schönheit und Harmonie zu verleihen.
  
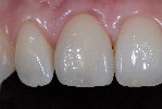
- Komplette Regeneration der Pappille 3 Monate nach der Eingliederung der Implantatkrone
  
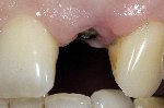
- Vollkeramische Restauration auf Implantat
  
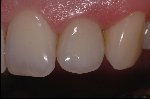
- Vollkeramische Restauration auf vollkeramischen Abutment
  
- Vollkeramische Restauration auf Implantat
Veneers
  
- Mit handgeschichteten Faceten aus Keramik ist es möglich einen Zahn naturgetreu wiederherzustellen
Vollkeramische Restauration auf eigenen Zähnen
   
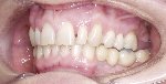
- Vollkommen gesunde Situation des Zahnfleisches nach der Restauration mit vollkeramischen Kronen, keine schwarzen Ränder wie im Ausgangsbild (links) zu sehen.
Innovative Verankerung Ihrer Prothesenbrücke
Anforderungen an eine Prothesenverankerung:
- einfaches Einsetzen und Herausnehmen
- einfache Hygiene
- konstante Haftkraft
- keine Überbelastung der Zähne
- keine Bewegung der Prothese
- einfache Integration von Implantaten und Restzähnen
- keine Geruchsbelästigung
- keine Korrosion
- geringer Nachsorgeaufwand
Eine Galvano-Konusprothese erfüllt bei regelgerechter Ausführung die meisten der gestellten Anforderungen im Vergleich zu anderen Verankerungsmechanismen sehr gut.
 
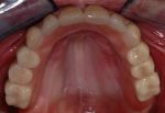
- Patient mit neuen keramischen Primärkronen im Oberkiefer
 
- © Dr. Paul Weigl
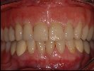
 Der direkte Vergleich: Patient mit neuen keramischen Primärkronen im Oberkiefer und metallischen Primärkronen im Unterkiefer
 
- Eingesetzte Teleskopprothese auf keramischen Primärkronen
Aufgrund der hohen Passgenauigkeit zwischen keramischen Primärkronen und galvanischen Sekundärkronen aus 99,99% Gold tritt keine Schaukelbewegung der Prothese ein. Sie wird wie fester Zahnersatz empfunden und wird wie eine Brücke gestaltet.
  
- Es ist keine Prothese mehr sondern eine herausnehmbare Brückenversorgung.
   
- Individuell charakterisierte Prothesenzähne und Basen sind im Mund des Patienten von einer natürlichen Situation kaum zu unterscheiden.
Alle abgebildeten Arbeiten stammen aus unserem Labor.

